Equine

Equine Healthcare

Equine

The horse is a close companion in both our lives and our works.

As horse racing becomes an increasingly popular sport, professional healthcare service and advanced medical devices are required for racehorses. From diagnosis to treatment and monitoring, Mindray Animal Medical offers high-end solutions for the healthcare of racehorses.

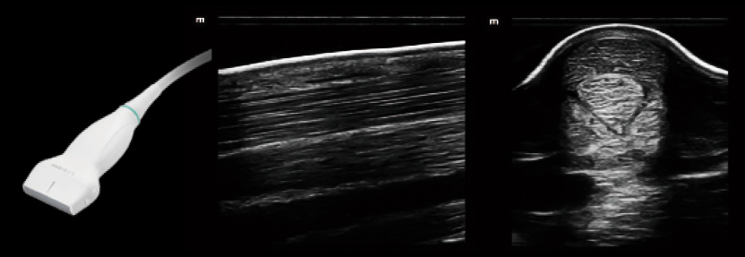
Our premium ultrasound systems can be applied to identifying horse obstetrics and genital diseases, heart diseases, and sports injuries such as tendonitis. Various transducer options are available, including linear transducers, convex transducers ,and phased array transducers. The portable ultrasound systems also offer more flexibility for veterinarians while diagnosing different diseases.

During surgery, accurate monitoring of multiple parameters ensures anesthesia safety. Our reliable infusion systems also enable precise medication administration.

We also developed In-vitro diagnostic solutions dedicated to horses, delivering more accurate test results in hematology, biochemistry, and PCR analysis.

Medical Imaging

Vetus EQ

Equine Ultrasound Image System

Artwork of Industrial Design

8 hours scanning powered by U-Bank
The lightest and thinnest design in the industry

6.6 lb   1.73 inch

Comprehensive Application
MSK Abdomen Reproduction
L13-3Ns C5-1s 6LE5Vs
Direct Workflow

One second selection of Equine exam mode

OR Solution

ePM 12M Vet

Portable Multi-Parameter Veterinary Monitor

With functioning intelligence and an easy-to-use operating system, the ePM 12M Vet provides excellent performance and precise physiologic parameters. Its modular design and high-end parameters offer practitioners more choices in practical applications.

Smart & Simple

Excellent Performance

Reliable Quality

BeneFusion eSP/eVP/eDS Vet

Veterinary Infusion & Syringe Pump Series

The e series vet infusion pump with 3.5" capacitive screen allows all parameters and common infusion statuses to be viewed easily and without having to navigate between menu layers. The pump status can also be remotely viewed from Mindray CMS Vet software. Dynamic pressure monitoring, SmartRapid™, and SmartAIR™ technologies safeguard patients from pump error.

Efficient and Convenient

Enhanced Safety

Easy to Manage

HyLED 580 Vet

Veterinary LED Surgical Light

Incorporating Mindray Animal Medical's high-end LED surgery technology, the HyLED 580 Vet series provides LED illumination with 3 installation options: wall hanging, ceiling, or mobile, meeting the specialized needs of different hospitals. An antibacterial coating inhibits the growth of staphylococcus aureus to help prevent intraoperative contamination and nosocomial infection, aiding animal safety.

Antimicrobial Design

Excellent Illumination

Contact Us

If you're interested in our products or service, you can choose to leave your information here, and we will be in touch with you shortly.
Verification code
By submitting the information above, I have read and agreed to the Privacy Policy *
Please check if you'd like to subscribe to Mindray Animal Medical's Newsletters
Mindray respects your privacy. We use cookies for a variety of purposes, such as website functionality, improving your experience of our website, building integration with social media and helping target our advertising. By continuing your visit on our website, you are consenting to our use of cookies. However, you can change your cookie settings at any time.

close